本文へジャンプ

 トップページ
はじめに
プロフィール
 歯科治療について
歯周病治療
歯周病専門医
むし歯治療
インプラント
口臭
ホワイトニング
歯ぎしり・知覚過敏症
リンク
 新橋駅前ビル歯科
 診療時間:
 月 - 金 10:00 - 19:00
    土 10:00 - 13:00
 各種保険取扱い

 東京都港区新橋2-20-15
 新橋駅前ビル1号館3階

 Tel: 03-3573-2151


 新橋・汐留方面からの詳細地図
 新橋駅より徒歩1分
 汐留駅より徒歩3分
 地下通路が便利です

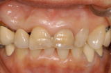
 ホワイトニングには2種類の方法があります。
 オフィスブリーチング
術前
ホワイトニング後
 漂白剤を診療室で塗布します。数回の来院で漂白効果が認められます。
 ホームブリーチング
術前
漂白セット(トレイと漂白剤)
トレイを口腔内に合わせます。
ホワイトニング後
 
漂白を自宅で行います。トレイの調整やポリッシングは診療室で行います。




 Copyright(C) 2006 新橋駅前ビル歯科 All rights reserved.